“I prescribe the Accuframe bar for all of my traditional hybrid cases. As a Prosthodontist, using a bar that comes with a lifetime warranty gives me confidence in the restorations we fabricate for our patients. But what really sets Accuframe apart is the relationship and customer service I get from Cagenix. I would highly recommend Cagenix for all of your complex implant solutions.”

Dr. Roxanna J. Esguerra, DDS, MS, FACP, Diplomate, American Board of Prosthodontics (USA)

BENEFITS

AccuFrame is the gold standard for fixed-hybrid and removeable milled frameworks. It fits nearly every implant system and allows different implant systems to be mixed within a single prosthesis, so patients can benefit from the greatest diversity and aesthetics of any custom framework cleared by the FDA. AccuFrame also boasts a lifetime framework warranty.

AccuFrame Plus is a natural-tissue-color treatment that looks completely normal under acrylic restorations or porcelain veneers. A color-masking process adds micro-texturing to the device surface for improved acrylic retention.

AccuFrame, launched in 2009, offers a range of available bar profiles—including wrap, metal base and metal lingual—customized to the customer’s preference. It also provides support for nearly all implant connections as well as Hader,® Dolder® and Locator® overdenture bar configurations. AccuFrame Plus provides the aesthetics customers demand without adding intermediary layers that can lead to chipping and/or debonding of acrylic resin.

Hader is a registered trademark of Sterngold-ImplaMed. Dolder is a registered trademark of Dr. E.S. Dolder. Locator is a registered trademark of ZEST IP Holdings, LLC.

FEATURES

  • Substructure for implant-based, full-arch prostheses
  • Custom-milled from a single piece of grade-5 titanium alloy for superior strength
  • Guaranteed to fit your patient’s master cast with 100% accuracy
  • Aesthetic “Plus” frame treatment eliminates need for opaquing

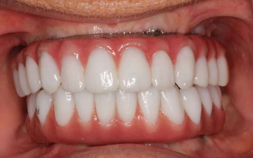
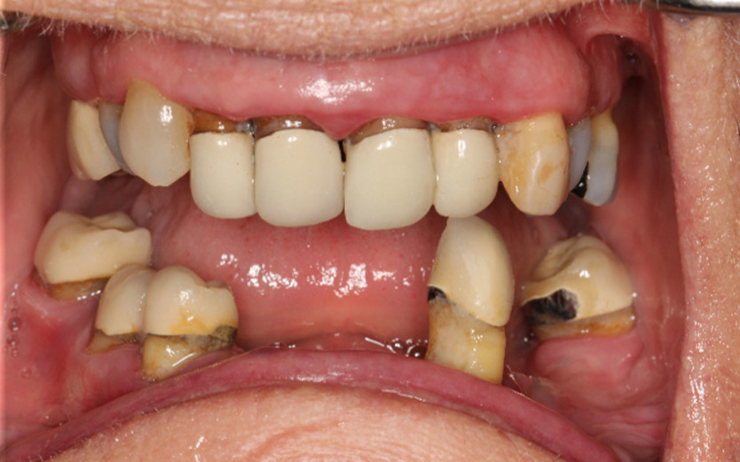
BEFORE + AFTER

Before AccuFrame Installation
After AccuFrame Installation

Courtesy of Dr. R. Bruce Miller, DDS, MS, FACP