BarZero Express

Faster, Durable Provisionals

Improve strength and aesthetics with this barless provisional for immediate conversions
BarZero Express Hero

BENEFITS

Ideal for day-of-surgery provisionals, BarZero Express provides immediate insight and impact regarding abutment selection, vertical dimension and bone or soft tissue reduction. The milled PMMA offers improved strength over traditional options and significantly reduces repair incidents with >95% success rate during beta testing, making it a cost-effective option.

FEATURES

  • Immediate screw-retained fixed-hybrid prothesis
  • Install restorations in about an hour
  • Trough design picks up copings intraorally then secures them with acrylic
  • Available with a palate and flanges when case cannot be immediately loaded
  • Improved aesthetics and patient satisfaction

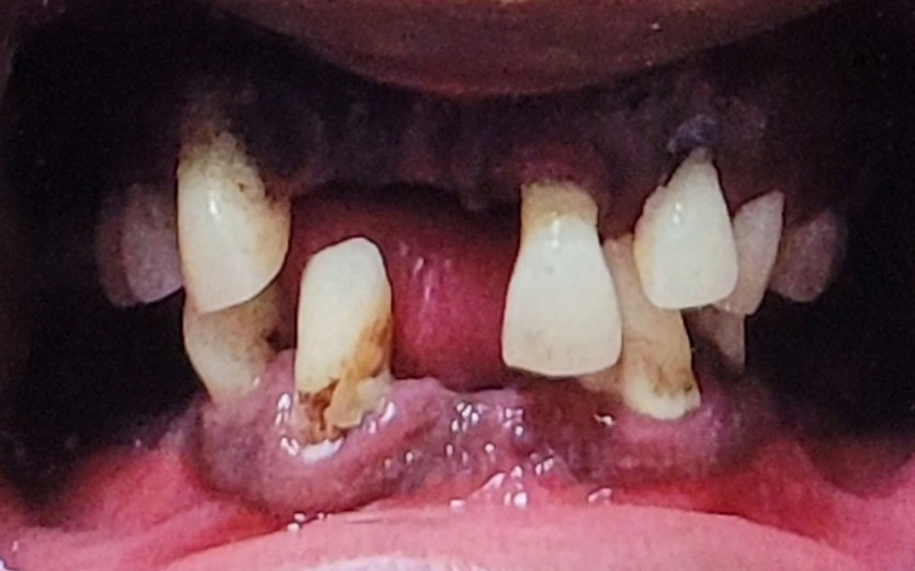
BEFORE + AFTER

Before BarZero Express Installation
After BarZero Express Installation

Courtesy of Dr. Jamiah K. Dawson, DDS, Micoi, Maaip