“These AccuFrame 360s have proven to be bulletproof with respect to any other restoration we have, and the patients love them. Over time we do not have tooth wear, so the long-term maintenance on the appliance is very minimal. We have also found that the opposing dentition is not experiencing advanced wear.”

Dr. Bradley A. Purcell, DDS, MS

BENEFITS

With this unique, patented all-on-x solution, repair/replacement can occur in as little as one visit. Its material-neutral, overlay-on-frame system is modular in design, allowing for easy replacement and interchangeability within the current and future overlay options in the system. Reduced repair incidents also make it a cost-effective option.

As a fixed, full-arch, implant-supported restoration, AccuFrame 360 makes an ideal alternative to fixed hybrids and can be used anytime a standard hybrid would be considered without additional office visits. The monolithic PMMA overlay provides improved performance over traditional hybrids and is ideal for patients who are experiencing high wear from bruxism. The monolithic zirconia overlay is for patients who demand premium durability at an incredible value. It produces superior aesthetics due to porcelain stacking on gingival and optional buccal surfaces. Both options carry a lifetime framework warranty.

FEATURES

  • Custom-milled overlay structure that mates to a milled titanium framework
  • Overlay milled from materials including PMMA and zirconia
  • Full-wrap or metal-base options
  • Supports industry’s widest range of implant platforms
  • 10 mm restorative space

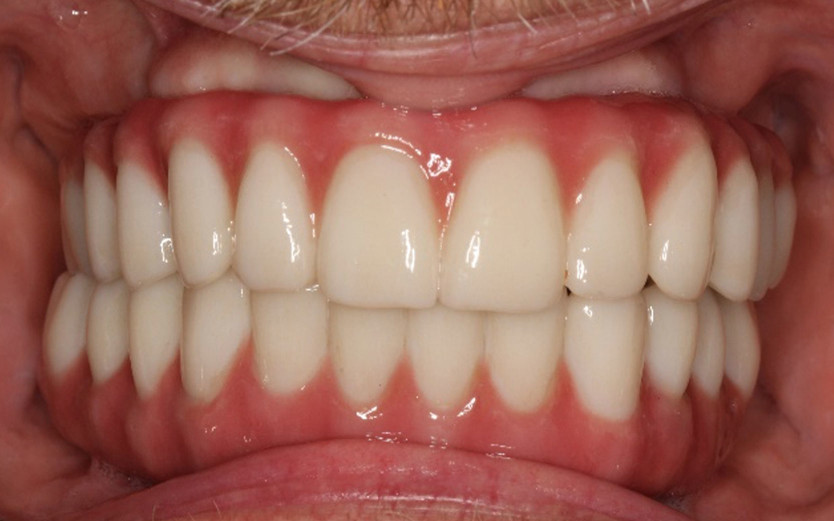
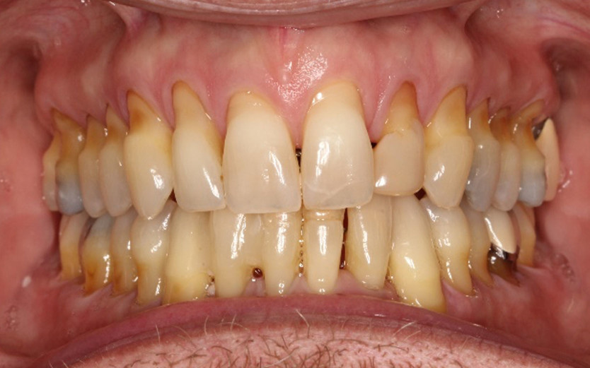
BEFORE + AFTER

Before AccuFrame 360 Installation
After AccuFrame 360 Installation

Courtesy of Dr. R. Bruce Miller, DDS, MS, FACP