"I have found the AccuFrame Overdenture to be an excellent CAD/CAM option for full-arch edentulous patients. The prosthetics have excellent fit with very streamlined and efficient delivery and follow up. They have also shown excellent wear resistance and have had minimal issues during follow up."

Dr. Graham Meng, DDS, MS, FACP

BENEFITS

Faster, more durable overdentures with no chairside pickups and reduced labor, the patented AccuFrame Overdenture also achieves intimate mating to the framework for increased strength and faster delivery with competitive pricing.

Overdentures are no longer complicated or time-consuming. From your stone cast and diagnostic wax-up, this fixed, full-arch, implant-supported overdenture provides the highest level of precision and fit through our patented technology without the struggle of processing and breakage. Mastication forces are transmitted from the overdenture to the framework. Retentive elements only do their job of retention, not load bearing. The AccuFrame Overdenture offers one path of insertion and removal, making it easier for patients with declining motor skills and improving the retentive elements’ lifespan. Reduced repair incidents also make it a cost-effective option.

Hader is a registered trademark of Sterngold-ImplaMed. Dolder is a registered trademark of Dr. E.S. Dolder. Locator is a registered trademark of ZEST IP Holdings, LLC.

FEATURES

  • One solid piece of PMMA - no separate teeth to delaminate
  • Fabricate duplicates in a cost-effective manner with one phone call or email
  • Support for Hader,® Dolder,® Locator,® Rhein83 and other common overdenture connections
  • Future-proof materials and bar types

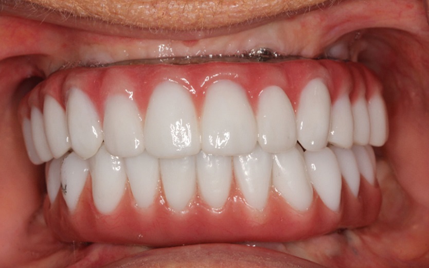
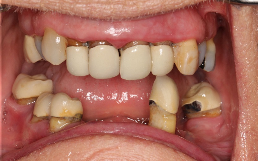
BEFORE + AFTER

Before AccuFrame Overdenture Installation
After AccuFrame Overdenture Installation

Courtesy of Dr. R. Bruce Miller, DDS, MS, FACP